Visuels

Exemples de cas traités

Les droits d'auteur en France sur l'immense majorité des vidéos de vulgarisation concernant le thème de l'orthodontie sont parfaitement dissuasifs. Celles que vous trouverez sur les sites internet français sont probablement piratées. Notre cabinet se refuse à investir aveuglément sur ce poste mais également à spolier les sociétés créatrices de leurs recettes de diffusion. C'est pourquoi pour l'heure, vous ne trouverez pas de vidéos ou de chemins d'accès. Nous tenterons d’être suffisamment didactiques et attrayants avec de simples photographies issues de notre propre activité. Merci de votre compréhension !

ATTENTION CERTAINES IMAGES PEUVENT IMPRESSIONNER !

Les images AVANT/APRES ont été prises dans des conditions similaires, elles n'ont pas été modifiées sauf pour protéger l'identité des patients qui ont d'ailleurs consenti à ce type d'utilisation.

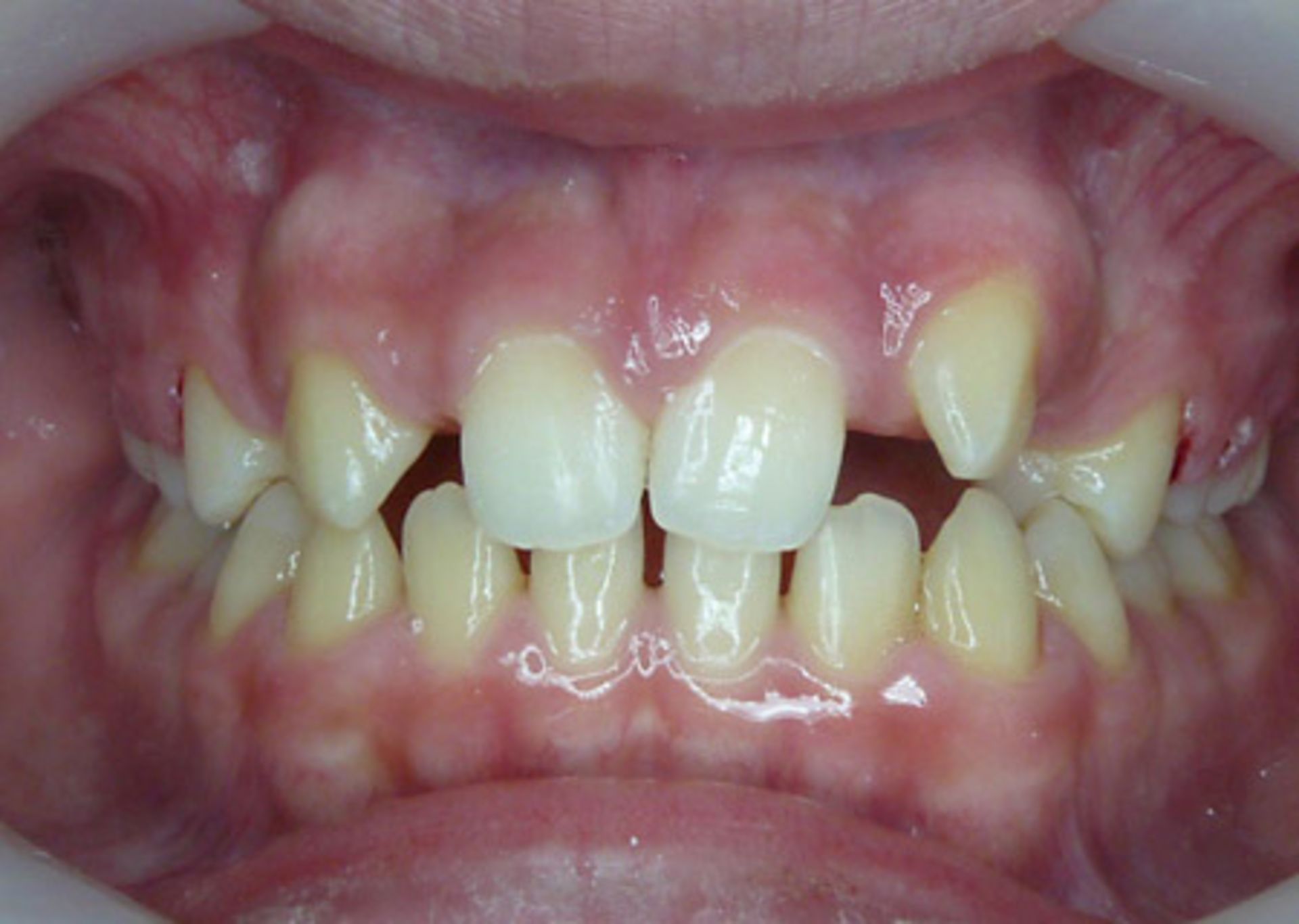
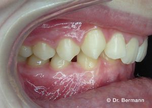
Cas #1

Cas #1

TRAITEMENT ORTHODONTIQUE DE FERMETURE DE BEANCE ANTERIEURE. 18 MOIS.

TRAITEMENT ORTHODONTIQUE DE FERMETURE DE BEANCE ANTERIEURE. 18 MOIS.

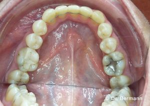
Cas #2

Cas #2

ORTHODONTIE PREPARATOIRE A LA POSE DE COURONNES SUR IMPLANTS DENTAIRES. 18 MOIS ET SURVEILLANCE.

Cas #3

Cas #3

TRAITEMENT ORTHODONTIQUE SANS EXTRACTION CHEZ L’ENFANT. 24 MOIS

Cas #4

Cas #4

TRAITEMENT ORTHODONTIQUE SANS EXTRACTION CHEZ L’ENFANT. DUREE 21 MOIS.

  

Cas #5

Cas #5

TRAITEMENT ORTHOPEDIQUE CHEZ L’ENFANT. REPOSITIONNEMENT MACHOIRE INFERIEURE ET ALIGNEMENT DENTAIRE. 27 MOIS

Cas #6

Cas #6

TRAITEMENT ORTHODONTIQUE SANS EXTRACTION DENTAIRE. 24 MOIS.

Cas #7

Cas #7

TRAITEMENT ORTHODONTIQUE AVEC EXTRACTION DE 4 PREMOLAIRES CHEZ L’ENFANT. DUREE 24 MOIS.

  

Cas #8

Cas #8

TRAITEMENT ORTHODONTIQUE DE FERMETURE D’ESPACES INTERDENTAIRES. 24 MOIS.

Cas #9

Cas #9

REPRISE DE TRAITEMENT ORTHODONTIQUE AVEC EXTRACTIONS 4 PREMOLAIRES : DUREE 30 MOIS.

Cas #10

Cas #10

MISE EN PLACE DE DENTS INCLUSES MULTIPLES. 24 MOIS.

  

Cas #11

Cas #11

TRAITEMENT ORTHODONTIQUE AVEC EXTRACTIONS DE 4 PREMOLAIRES CHEZ L’ENFANT. DUREE 24 MOIS.

  

Cas #12

Cas #12

TRAITEMENT ORTHODONTIQUE SANS EXTRACTION : DUREE 30 MOIS

  

Cas #13

Cas #13

TRAITEMENT ORTHODONTIQUE CHEZ L’ADULTE AVEC 4 EXTRACTIONS : 24 MOIS

  

Cas #14

Cas #14

TRAITEMENT ORTHODONTIQUE ET CHIRURGICAL CHEZ L’ADULTE. 30 MOIS.

Cas #15

Cas #15

TRAITEMENT ORTHODONTIQUE CHEZ L’ADULTE PAR EXTRACTION D’UNE INCISIVE INFERIEURE : 15 MOIS